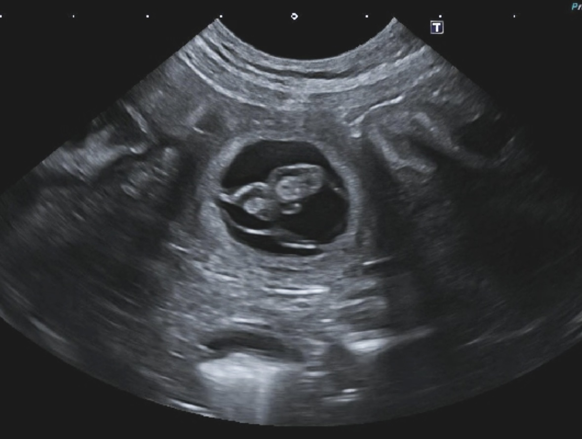
Březost potvrzena
S radostí můžeme oznámit, že krytí na konci srpna bylo úspěšné a na konci října se můžeme těšit na štěňátka. Přijímáme rezervace.
I před vyšetřením Aike vykazovala znánky březosti. Je líná (což zrovna u ní není úplně běžné), zkouší vyloudit jídlo i mimo obvyklou dobu a je víc a víc přítulná a mazlivá.
Na ultrazvuku všem „štěňátkům“ krásně ťukala srdíčka. Doufáme, že i nadále bude vše probíhat bez komplikací.
